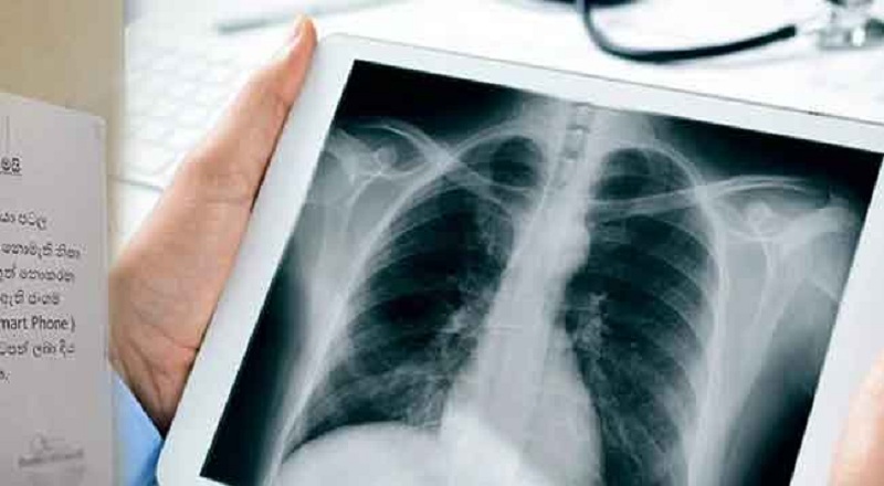
எக்ஸ்ரே பிலிம்களுக்கு தட்டுப்பாடு : கடும் சிரமத்தை எதிர்நோக்கும் நோயாளிகள்!

#SriLanka #Hospital #Lanka4 #Tamilnews #sri lanka tamil news #Patients
Thamilini
2 years ago
எக்ஸ்ரே பிலிம்களுக்கு தட்டுப்பாடு : கடும் சிரமத்தை எதிர்நோக்கும் நோயாளிகள்!

அரசு மருத்துவமனைகளில் கதிர்வீச்சு பணிக்கு பயன்படுத்தப்படும் எக்ஸ்ரே பிலிம்கள் இல்லாததால் நோயாளிகள் கடும் சிரமத்திற்கு உள்ளாகியுள்ளதாக தெரிவிக்கப்படுகின்றது. 

அரசாங்க கதிரியக்க தொழில்நுட்ப வல்லுநர்கள் சங்கம் இதனை வலியுறுத்தியுள்ளது. 

இதனை சரி செய்யுமாறு சுகாதார அமைச்சிடம் கோரிக்கை விடுக்கப்பட்டுள்ளதாக அந்த சங்கத்தின் தலைவர்  சானக தர்மவிக்ரம தெரிவித்தார்.

உள்ளூராட்சி தேர்தலை விரைவில் நடத்துமாறு உத்தரவு!
உள்ளூராட்சி தேர்தலை விரைவில் நடத்துமாறு உத்தரவு!
உள்ளூராட்சி தேர்தலை விரைவில் நடத்துமாறு உத்தரவு!
உள்ளூராட்சி தேர்தலை விரைவில் நடத்துமாறு உத்தரவு!